Scritto da:
Matteo Marullo, IRCCS Ospedale Galeazzi Sant’Ambrogio di Milano

Bruce Gomberg, Northern Light Mercy Orthopaedics, Portland, ME, USA.

Responsabili del Gruppo Small Implants dell’European Knee Associates (EKA)
Indice dei Contenuti
Introduzione
Sono orgoglioso di presentare questo manuale, frutto di un lavoro condiviso con il dott. Gomberg e realizzato per la European Knee Association. L’obiettivo è offrire uno strumento pratico e aggiornato, che raccolga indicazioni chiare e basate sull’evidenza per la selezione dei pazienti candidati alla protesi monocompartimentale.
Il testo, organizzato in capitoli tematici, affronta i principali criteri clinici e radiologici, le variabili anatomiche e funzionali e le innovazioni tecnologiche che oggi supportano questa chirurgia.
È mia convinzione che questo manuale possa diventare una guida utile sia per i chirurghi in formazione sia per i professionisti già esperti che desiderano approfondire la pratica della chirurgia mininvasiva del ginocchio.Dott. Matteo Marullo
La protesi monocompartimentale di ginocchio (PMG) è una tecnica consolidata ed efficace per trattare l’artrosi che colpisce solo una parte del ginocchio. Rispetto alla protesi totale (PTG), presenta diversi vantaggi:
– Mantiene intatti i legamenti crociati e le zone non danneggiate del ginocchio
– L’intervento è più breve
– Si perde meno sangue
– Rischi minori di complicazioni, infezioni e mortalità
– Recupero più veloce
– Migliore percezione del movimento e funzionalità del ginocchio

Ricerche recenti dimostrano che fino all’85% dei casi di artrosi interessa solo una parte del ginocchio, non tutto. Pertanto, spesso non è necessario ricorrere a una protesi totale del ginocchio, che sostituisce tutta la cartilagine, compreso anche quella ancora sana.Pertanto, la protesi monocompartimentale è un intervento sempre più considerato dai chirurghi, anche se ancora sottoutilizzato: solo il 5-10% degli interventi di protesi in Italia prevede l’utilizzo di una protesi monocompartimentale, ma la tendenza è in crescita.
Perché la protesi monocompartimentale sia efficace e duratura nel tempo, è fondamentale:
– Selezionare accuratamente i pazienti
– Eseguire un intervento accurato
– Utilizzare impianti di qualità
Nel 1989, Kozinn e Scott avevano definito dei criteri classici per selezionare i candidati alla protesi monocompartimentale. Negli ultimi 35 anni, però, gli studi e le tecnologie si sono molto evoluti. È quindi necessario aggiornare questi criteri.
Per questo motivo, sono molto orgoglioso di aver promosso all’interno del nostro gruppo di chirurgi ortopedici specialisti nella chirurgia protesica del ginocchio uno studio che ha esaminato le più recenti pubblicazioni scientifiche e raccolto le nostre varie e ampie esperienze cliniche, al fine di creare questo manuale.
Obiettivi del manuale
- Migliorare i risultati clinici, scegliendo meglio i pazienti e perfezionando le tecniche
- Dare indicazioni sull’allineamento dell’impianto per ridurre i rischi di complicanze o fallimenti
- Considerare fattori individuali (età, peso, interventi precedenti, stato dei legamenti)
- Analizzare nuove tecnologie come la chirurgia robotica
Sintesi dei capitoli
Capitolo 1 – Salute generale del paziente
Le condizioni di salute prima dell’intervento sono molto importante. Le protesi monocompartimentali prevedono un breve ricovero ospedaliero e una riabilitazione al domicilio, quindi il paziente deve arrivare ben preparato.
Problemi comuni come ipertensione, diabete, obesità, anemia, malattie polmonari e cardiache aumentano i rischi. Anche lo stato psicologico può influenzare il recupero.
Checklist preoperatoria consigliata:
- Controllo del cuore e dei polmoni
- Emoglobina glicata (HbA1c) sotto 7%
- BMI (indice di massa corporea) preferibilmente sotto 35
- Smettere di fumare almeno 6 settimane prima
- Evitare uso di oppioidi
Capitolo 2 – Dolore localizzato come indicazione per la protesi monocompartimentale
La zona in cui si localizza il dolore è un fattore chiave per decidere se un paziente può essere adatto alla protesi monocompartimentale. In passato, si riteneva indispensabile che il dolore fosse limitato a un solo compartimento del ginocchio per poter fare la mono. Alcuni studi recenti indicano che, anche se il dolore è più diffuso, non è sempre necessario ricorrere alla protesi totale; la protesi monocompartimentale può comunque funzionare. Una mappa del dolore al ginocchio può aiutare a distinguere meglio tra chi è candidato per protesi monocompartimentale o protesi totale.
Capitolo 3 – Esami di imaging
Gli esami radiografici preoperatori aiutano a confermare se la protesi monocompartimentale è indicata.
Esami fondamentali prima dell’intervento:
- Radiografie del ginocchio in carico in AP e laterale
- Radiografia degli arti inferiori sotto carico (per valutare l’allineamento della gamba)
- Proiezione di Rosenberg (mostra meglio il restringimento dello spazio articolare)
- Risonanza magnetica (controlla legamenti e cartilagini)

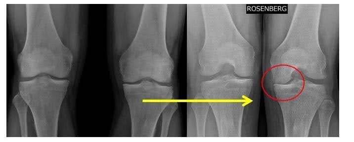
L’immagine mostra due tipi di radiografie:
- A sinistra: radiografia in carico standard (AP), dove l’artrosi può sembrare moderata.
- A destra: proiezione Rosenberg, che evidenzia meglio il restringimento dello spazio articolare, rendendo più chiara la gravità della patologia.
Questo esempio dimostra che un esame più specifico può cambiare l’approccio terapeutico, evidenziando un’indicazione più precisa per un intervento come la protesi monocompartimentale.
Le radiografie dopo l’intervento servono a controllare la qualità del risultato. È consigliato eseguire controlli radiografici di follow-up ogni 1–2 anni, per un periodo fino a 10 anni.
Capitolo 4 – Età del paziente
L’età non è più considerata una controindicazione rigida per eseguire la protesi monocompartmentale, a patto che il paziente sia selezionato correttamente.
Pazienti più giovani (meno di 60 anni):Un livello di attività fisica più elevato può aumentare il rischio di usura dell’impianto e di doverlo sostituire in futuro. Tuttavia, gli studi mostrano che oltre il 90% degli impianti è ancora funzionante a 10 anni.
Pazienti più anziani (oltre 75 anni): la protesi monocompartmentale comporta meno complicazioni e tempi di recupero più rapidi rispetto alla protesi totale. È una scelta vantaggiosa perché prevede degenze ospedaliere più brevi e meno problemi generali di salute.
In sintesi: La protesi monocompartmentale funziona bene a tutte le età, anche se nei pazienti molto giovani potrebbe essere necessario un futuro intervento di revisione.
Capitolo 5 – Influenza del peso corporeo
L’obesità non è una controindicazione per la protesi monocompartimentale, ma può aumentare i rischi di revisione.
Gli studi sull’effetto dell’obesità danno risultati contrastanti:
- Alcuni riportano un numero maggiore di complicazioni e revisioni.
- Altri non rilevano differenze significative nei risultati clinici o funzionali.
Nei pazienti con obesità severa (indice di massa corporea superiore a 35–40 kg/m²), possono verificarsi:
- Maggiore usura e allentamento dell’impianto.
- Leggermente peggiori risultati funzionali (ad esempio, punteggi più bassi nei test di funzionalità).
A differenza della protesi totale, l’obesità non sembra aumentare il rischio di infezione dopo protesi monocompartimentale.
Raccomandazione: i chirurghi dovrebbero sensibilizzare i pazienti obesi sull’importanza della perdita di peso per migliorare la durata dell’impianto.
Capitolo 6 – Allineamento nella protesi monocompartimentale mediale
Un corretto allineamento dell’impianto è fondamentale per evitare che si usuri precocemente. Ecco alcuni aspetti importanti da considerare per ottenere un buon allineamento:
- Posizionamento della componente tibiale: un’inclinazione di 2° verso l’interno (varo) aiuta a distribuire bene i carichi.
- Posizionamento della componente femorale: una correzione eccessiva può causare usura nel compartimento laterale del ginocchio.
- Inclinazione posterioredella tibia (slope): tra 3° e 7°, per evitare che il ginocchio tenda a scivolare all’indietro in modo anomalo.
Se l’allineamento non è corretto, si possono avere problemi:
- Correzione eccessiva (>2° in valgo): può portare a sviluppare artrosi nel compartimento laterale.
- Correzione insufficiente (>5° in varo): può causare l’allentamento dell’impianto e un fallimento precoce dell’intervento.
Capitolo 7 – Condizione del compartimento laterale
Il deterioramento del compartimento laterale del ginocchio è una delle principali cause di fallimento della protesi monocompartimentale mediale.
La risonanza magnetica tende spesso a sovrastimare i problemi in questo compartimento.
I principali fattori di rischio post-operatori per lo sviluppo di artrosi nel compartimento laterale sono:
- Una correzione eccessiva verso l’esterno (valgo).
- L’uso di impianti femorali di grandi dimensioni (oltre la misura 4).
- Una maggiore progressione dell’artrosi negli interventi eseguiti sulla gamba dominante.
Una lieve artrosi nel compartimento laterale o la presenza di condrocalcinosi non sono controindicazioni assolute all’UKA, a condizione che la funzionalità del ginocchio sia mantenuta.
Capitolo 8 – Condizione del comparto femoro-rotuleo
In passato, l’artrosi della rotula (artrosi patello-femorale) era considerata una controindicazione alla protesi monocompartimentale. Studi recenti dimostrano che un’artrosi patello-femorale lieve o moderata non compromette i risultati dell’intervento di protesi monocompartimentale.
Nei pazienti con malallineamento della rotula o artrosi grave della faccia laterale della rotula, è necessario valutare con attenzione: in questi casi, può essere più indicato associare la protesi monocompartimentale a una protesi parziale della femororotulera o optare direttamente per una protesi totale del ginocchio.
Capitolo 9 – Ginocchia senza legamento crociato anteriore
In passato l’assenza del legamento crociato anteriore era considerata un motivo per non fare la protesi monocompartimentale del ginocchio. Oggi invece:
Nei pazienti sotto i 65 anni la protesi monocompartimentale può funzionare bene insieme alla ricostruzione del legamento crociato anteriore.
Nei pazienti sopra i 65 anni: Se il legamento crociato anteriore si è rovinato a causa dell’artrosi, è possibile fare la protesi monocompartimentale anche senza ricostruire il legamento, a patto che l’intervento sia eseguito con una tecnica molto accurata e l’inclinazione posteriore della tibia non superi i 7 gradi.
In questi casi è sempre opportuno scegliere una protesi monocompartimentale cosiddetta “a piatto fisso”.
Capitolo 10 – UKA dopo interventi precedenti
Interventi precedenti, come la rimozione del menisco o la riparazione di legamenti, possono influenzare i risultati della protesi monocompartimentale.
Una precedente osteotomia tibiale (un intervento per correggere l’asse del ginocchio) non è sempre un ostacolo alla protesi monocompartimentale sul lato interno del ginocchio; lo diventa se ha causato una deformazione verso l’esterno del ginocchio (valgo).

Tre tipi di asse meccanico dopo un’osteotomia tibiale alta (HTO): Se l’asse del ginocchio è in varo (ginocchio “a parentesi”) o neutro, si può valutare una protesi monocompartimentale. Se l’asse è in valgo (ginocchio “a X”), è necessaria una protesi totale.
La protesi monocompartimentale non dovrebbe essere eseguita raramente: i chirurghi dovrebbero evitare di fare pochi casi all’anno, perché l’esperienza influisce molto sui risultati.
La protesi monocompartimentale può essere una buona soluzione per chi non ha avuto successo con trattamenti di riparazione della cartilagine. Tuttavia, in questi pazienti:
- Il dolore potrebbe ridursi meno rispetto ad altri.
- Il miglioramento della funzionalità potrebbe essere più limitato.
- La soddisfazione generale potrebbe essere inferiore rispetto a chi fa una UKA come primo trattamento.
La protesi monocompartimentale è una scelta efficace per trattare l’osteonecrosi del ginocchio, con ottimi risultati clinici e eccellente durata nel tempo.
- Nei casi di osteonecrosi primaria, la sopravvivenza dell’impianto è pari o anche superiore rispetto ai casi trattati per artrosi primaria.
- La protesi monocompartimentale può essere indicata in caso di osteonecrosi isolata mediale se è presente una delle seguenti condizioni:
- Stadio 3 o 4: presenza di aree scure estese alla radiografia, cedimento dell’osso sotto la cartilagine (subcondrale) o chiari segni di artrosi.
- Lesioni osteonecrotiche:
- Più grandi di 5 cm², oppure
- Che interessano più del 50% della superficie del condilo femorale mediale (vista frontale).
- Lesioni più piccole (<5 cm²) che non migliorano dopo 3 mesi di trattamenti conservativi.
- Nei casi di osteonecrosi secondaria (causata da altri problemi o farmaci), la scelta raccomandata è la protesi totale del ginocchio.

Capitolo 12 – Il ruolo della robotica nella protesi monocompartimentale
- La protesi monocompartimentale assistita da robot permette una chirurgia più precisa, ma ha un costo maggiore rispetto alla tecnica tradizionale.
- Anche se i benefici potenziali sono interessanti, non ci sono ancora prove solide che dimostrino risultati clinici migliori rispetto alla protesi monocompartimentale convenzionale.
Vantaggi potenziali:
- Posizionamento dell’impianto più accurato → minor rischio che si stacchi (mobilizzazione).
- Minori errori nell’allineamento → migliore durata nel tempo dell’impianto.
Limiti:
- Costo elevato e necessità di una formazione specifica.
- Mancanza di prove a lungo termine che ne dimostrino la superiorità clinica.
Conclusioni
Questo manuale offre linee guida complete e basate su evidenze scientifiche per aiutare i chirurghi ad utilizzare le protesi monocompartimentali in modo corretto, con particolare attenzione a:
- Selezione corretta dei pazienti
- Adeguata tecnica chirurgica e allineamento
- Innovazioni tecnologiche (robotica)
L’obiettivo è migliorare i risultati clinici e la qualità della cura per chi soffre di artrosi localizzata al ginocchio.